
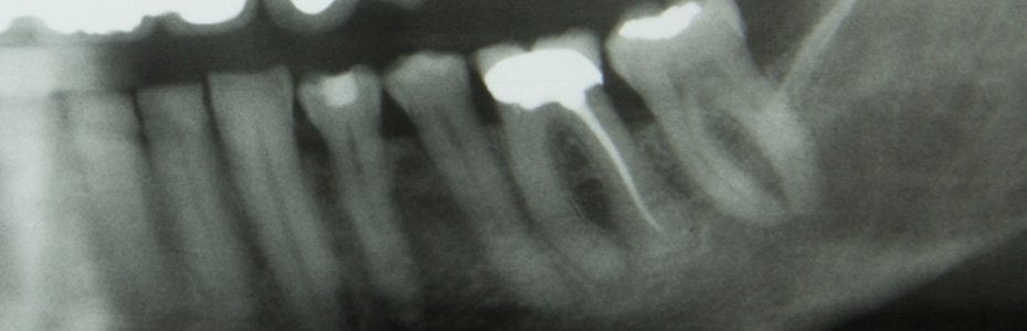
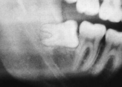
Les dents de sagesse complètement sorties et correctement positionnées posent généralement peu de problèmes. La plupart du temps, l’espace disponible ne suffit pas. Les dents de sagesse décalées (mauvais alignement) ou seulement partiellement sorties causent des dommages au reste de la dentition existante. A l’endroit des avancées, des inflammations de la gencive ou des abcès douloureux peuvent se produire causés par une hygiène buccale rendue difficile. Lors de l’extraction de dents de sagesse profondément ancrées dans l’os, les structures anatomiques voisines, le tissu et les nerfs doivent être épargnées. L’extraction de plusieurs dents de sagesse peut être effectuée en une opération. Les impératifs médicaux définissent combien les dents de sagesse peuvent être enlevées et à quel moment.
| Lundi | 8:30 - 12:00 | et | 14:00 - 18:00 |
| Mardi | 8:30 - 12:00 | ||
| Mercredi | 8:30 - 12:00 | et | 14:00 - 19:00 |
| Jeudi | 8:30 - 12:00 | et | 14:00 - 18:00 |
| Vendredi | 8:30 - 13:30 | ||
Hier finden Sie Neuigkeiten aus unserer Praxis, der Gesundheitspolitik und der Zahnmedizin...